
Что такое кавернома? Риски и лечение
Что такое кавернома и почему она кровоточит ? Каверномы относятся к сосудистым заболеваниям головного мозга. Это венозная проблема, как и аретериовенозные мальформации. Однако она менее распространена и менее опасена, чем АВМ. Однако у каверном всегда есть риск разорваться и начать кровоточить. По этой причине кавернома опасна для жизни. Каверномы имеют небольшую структуру с тонкими прожилками и плотно закрученые. По внешнему виду они напоминают плоды ежевики.
Что такое кавернома?
Кавернома представляет собой патологический пучок кровеносных сосудов в головном мозге. Это врожденная паталогия. Они представляют собой тонкостенные небольшие конструкции, которые тесно связаны между собой. Их размер около 1 см. Также можно встретить каверномы диаметром до 3 см. В литературе встречаются каверномы размером даже 10 см, хотя весьма редко. Их называют гигантскими кавернозными мальформациями. Считается, что в мире насчитывается около 20 миллионов больных каверномой.
Симптомы каверномы
Симптомы каверномы чаще всего проявляются кровоизлияниями в мозг. Головная боль, тошнота и рвота могут возникать у больного вследствие кровоизлияния в мозг. Другие симптомы:
Обычно мы сталкиваемся с каверномами случайно или при исследовании основной причины сильной, постоянной головной боли.
Причины
Сосудистые скопления (как АВМ, так и каверномы), образующиеся в головном мозге, считаются врожденной проблемой.
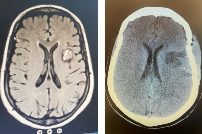
Диагностика
Метод визуализации, используемый в диагностике каверномы, — МРТ. В отличие от АВМ, при каверноме нет необходимости в цифровой церебральной ангиографии.
Риски каверномы
Каверномы представляют собой аномальные сосудистые пучки в головном мозге. Они угрожают жизни. Размер сосудистого образования со временем может увеличиваться. Сосудистая структура каверном слабая. Она может разорваться и кровоточить. Это может вызвать кровоизлияние в мозг в любой момент жизни. Некоторые исследования показывают, что кровотечение возникает в 0,5% каверном каждый год.
Кровотечение из каверномы протекает в виде подтекания. По мере распространения в головной мозг могут возникать эпилептические припадки.
Почему кавернома кровоточит
Как и АВМ, кавернома имеет тенденцию к разрыву в молодом возрасте. Одним из важнейших факторов, повышающих риск разрыва каверномы, является беременность. По этой причине молодым женщинам с каверномой, рекомендуется пройти курс лечения до наступления беременности.
Исследования показали что занятия спортом не увеличивает риск разрыва каверном , при бесконтактных видах спорта, которые не вызывают изменений давления в головном мозге. По контактным видам спорта и видам спорта, изменяющим мозговое давление, (альпинизм, подводное плавание с аквалангом) таких данных нет.
Лечение каверномы
У нас есть три варианта лечения каверномы : последующее наблюдение, хирургическое вмешательство и гамма-нож. Золотым стандартом лечения является хирургическое вмешательство.
Хирургия каверномы проводится под микроскопом. По сравнению с хирургией АВМ это относительно простая процедура с низким уровнем риска. Причина связана со структурой каверном. Каверномы представляют собой более мелкие и объемные образования. Это не имеет ничего общего с артериями и венами. При микрохирургическом методе кавернома удаляется из головного мозга, и пациент продолжает свою жизнь.
В каких случаях следует делать операцию каверномы?
Радиохирургия гамма-ножом может быть оценена в ограниченном числе случаев, если кавернома не может быть прооперирована по различным причинам, и если она находится в рискованном положении для вмешательства (например, ствол мозга). Фиброз (утолщение) обеспечивается в структурах, составляющих каверному. Исключается риск кровотечения. Однако кавернома продолжает существовать в головном мозге больного.
Мониторинг. Не каждая кавернома нуждается в операции. Каверномы чаще всего разрываются и кровоточат в возрасте 20-40 лет. Если возраст пациента преклонный и кавернома обнаружена случайно, может быть предпочтительнее держать пациента под наблюдением с ежегодным МРТ вместо хирургического вмешательства.
В чем разница между каверномой и АВМ?
При АВМ артерии и вены переплетаются. Это не кавернома.
Количество крови, циркулирующей в АВМ, высокое и находится под давлением. В каверноме все наоборот. Поэтому кровотечение, возникающее в результате разрыва каверномы, имеет вид подтекания.
АВМ имеет более высокий риск разрыва и кровотечения, чем кавернома.
Оба опасны для жизни. Однако АВМ больше угрожает жизни. Это связано с тем, что кровь там течет намного быстрее.
Кавернома Часто задаваемые вопросы
Опасна ли кавернома?
Каверномы представляют собой аномальные сосудистые пучки в головном мозге. Это считается опасным, так как есть риск разрыва и кровотечения. Все болезни, возникающие внутри черепа, опасны. Однако уровень опасности варьируется в зависимости от заболевания, возраста человека, семейного анамнеза, образа жизни и общего состояния здоровья. Кавернома – это заболевание, связанное с сосудами головного мозга. Самая главная опасность, которую она создаст, это то, что происходит кровоизлияние в сосудах и у человека происходит кровоизлияние в мозг.
Виды лечения каверномы?
Лечение каверномы основано на удалении аномального сосудистого пучка в головном мозге. Наиболее распространенным методом лечения является хирургическое удаление каверномы. Кроме того, в соответствующих случаях можно воспользоваться радиохирургией «Гамма-нож».
Кавернома опухоль?
Нет. Кавернома не является опухолью головного мозга. Это сосудистое заболевание головного мозга.
Что означает кавернома в головном мозге?
Фраза «Кавернома в головном мозге» или «В головном мозге имеется кавернозная мальформация» означает, что в сосудах головного мозга имеется аномальная, похожая на ежевику, опухшая, тонкососудистая и туго закрученная аномальная сосудистая структура.
Вызывает ли кавернома головокружение?
Головокружение является одним из симптомов каверном. В зависимости от того, в каком отделе головного мозга расположена кавернома, может усиливаться выраженность головокружения.
Например, такие симптомы, как потеря равновесия, головокружение и нарушение походки, более выражены при каверномах, расположенных в мозжечке.
Уменьшается ли кавернома?
Каверномы могут расти, уменьшаться или оставаться стабильными с течением времени. Однако полностью сжаться и исчезнуть сами по себе не могут.
Смертельна ли кавернома?
Да, но редко... Кровоизлияния в мозг из-за каверномы обычно медленные и негерметичные. На самом деле, иногда это даже не проявляется симптомом и не замечается пациентом. Однако, в зависимости от размера и расположения каверномы, она может стать более опасной. Например, высокий риск представляют редкие каверномы ствола мозга. Если она начнет кровоточить, это может даже привести к гибели человека.
Можно ли лечить каверному лекарствами?
На сегодняшний день вылечить каверному медикаментозно невозможно. Золотым стандартом лечения является хирургическое вмешательство. В некоторых случаях также может быть использована радиохирургия Гамма-нож.
Что произойдет, если каверному не лечить?
Для некоторых каверном лучшим вариантом является мониторинг. Никакого лечения к человеку не применяется. Однако, если кавернома вызвала серьезные симптомы или находится в опасном месте в головном мозге, рекомендуется ее лечение. Если не лечить, жалобы человека будут продолжаться. В зависимости от расположения и размера каверномы могут возникнуть опасные для жизни состояния.
Сколько часов длится операция по удалению каверномы?
Хирургия каверномы обычно занимает от 1 до 2 часов.
использованная литература
https://pubmed.ncbi.nlm.nih.gov/32147026/
https://www.nhs.uk/conditions/cavernoma/
https://www.ncbi.nlm.nih.gov/pmc/articles/PMC2588260/